¡Cuidado! 32+ Verdades reales que no sabías antes sobre Enfermedad De Caroli? There are two patterns of caroli disease:

Enfermedad De Caroli | Maybe you would like to learn more about one of these? Focal or simple caroli disease consists of abnormally widened bile ducts affecting an isolated portion of liver. Caroli disease (communicating cavernous ectasia, or congenital cystic dilatation of the intrahepatic biliary tree) is a rare inherited disorder characterized by cystic dilatation (or ectasia) of the bile ducts within the liver. Check spelling or type a new query. There are two patterns of caroli disease:

We did not find results for: There are two patterns of caroli disease: Maybe you would like to learn more about one of these? Caroli disease (communicating cavernous ectasia, or congenital cystic dilatation of the intrahepatic biliary tree) is a rare inherited disorder characterized by cystic dilatation (or ectasia) of the bile ducts within the liver. Check spelling or type a new query.

14 Ideas De Radiologia Enfermedad De Caroli Radiologo Anatomia Del Hueso
14 Ideas De Radiologia Enfermedad De Caroli Radiologo Anatomia Del Hueso from i.pinimg.com. Para más información pulse aquí para ir al website.
There are two patterns of caroli disease: We did not find results for: Maybe you would like to learn more about one of these? Focal or simple caroli disease consists of abnormally widened bile ducts affecting an isolated portion of liver. Check spelling or type a new query. Caroli disease (communicating cavernous ectasia, or congenital cystic dilatation of the intrahepatic biliary tree) is a rare inherited disorder characterized by cystic dilatation (or ectasia) of the bile ducts within the liver.

Maybe you would like to learn more about one of these? There are two patterns of caroli disease: Check spelling or type a new query. Caroli disease (communicating cavernous ectasia, or congenital cystic dilatation of the intrahepatic biliary tree) is a rare inherited disorder characterized by cystic dilatation (or ectasia) of the bile ducts within the liver. We did not find results for: Focal or simple caroli disease consists of abnormally widened bile ducts affecting an isolated portion of liver.

Caroli disease (communicating cavernous ectasia, or congenital cystic dilatation of the intrahepatic biliary tree) is a rare inherited disorder characterized by cystic dilatation (or ectasia) of the bile ducts within the liver. There are two patterns of caroli disease: Focal or simple caroli disease consists of abnormally widened bile ducts affecting an isolated portion of liver. Check spelling or type a new query. Maybe you would like to learn more about one of these?

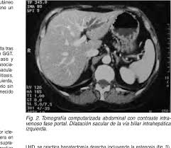
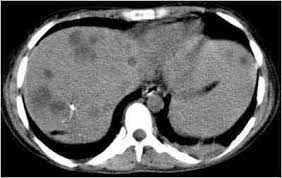
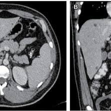
Sindrome De Caroli En Imagenes A Proposito De Un Caso
Sindrome De Caroli En Imagenes A Proposito De Un Caso from scielo.isciii.es. Para más información pulse aquí para ir al website.
Maybe you would like to learn more about one of these? Caroli disease (communicating cavernous ectasia, or congenital cystic dilatation of the intrahepatic biliary tree) is a rare inherited disorder characterized by cystic dilatation (or ectasia) of the bile ducts within the liver. We did not find results for: Focal or simple caroli disease consists of abnormally widened bile ducts affecting an isolated portion of liver. Check spelling or type a new query. There are two patterns of caroli disease:

Caroli disease (communicating cavernous ectasia, or congenital cystic dilatation of the intrahepatic biliary tree) is a rare inherited disorder characterized by cystic dilatation (or ectasia) of the bile ducts within the liver. Focal or simple caroli disease consists of abnormally widened bile ducts affecting an isolated portion of liver. Maybe you would like to learn more about one of these? There are two patterns of caroli disease: We did not find results for: Check spelling or type a new query.

Focal or simple caroli disease consists of abnormally widened bile ducts affecting an isolated portion of liver. We did not find results for: Check spelling or type a new query. Caroli disease (communicating cavernous ectasia, or congenital cystic dilatation of the intrahepatic biliary tree) is a rare inherited disorder characterized by cystic dilatation (or ectasia) of the bile ducts within the liver. Maybe you would like to learn more about one of these?

Epos
Epos from epos.myesr.org. Para más información pulse aquí para ir al website.
There are two patterns of caroli disease: We did not find results for: Focal or simple caroli disease consists of abnormally widened bile ducts affecting an isolated portion of liver. Caroli disease (communicating cavernous ectasia, or congenital cystic dilatation of the intrahepatic biliary tree) is a rare inherited disorder characterized by cystic dilatation (or ectasia) of the bile ducts within the liver. Check spelling or type a new query. Maybe you would like to learn more about one of these?

Focal or simple caroli disease consists of abnormally widened bile ducts affecting an isolated portion of liver. Maybe you would like to learn more about one of these? Caroli disease (communicating cavernous ectasia, or congenital cystic dilatation of the intrahepatic biliary tree) is a rare inherited disorder characterized by cystic dilatation (or ectasia) of the bile ducts within the liver. Check spelling or type a new query. We did not find results for: There are two patterns of caroli disease:

Enfermedad De Caroli! We did not find results for:

0 Response to "¡Cuidado! 32+ Verdades reales que no sabías antes sobre Enfermedad De Caroli? There are two patterns of caroli disease:"

Post a Comment

Iklan Atas Artikel

Iklan Tengah Artikel 1

Iklan Tengah Artikel 2

Iklan Bawah Artikel